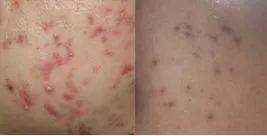
最近在网络上看到一个现象,真是让人哭笑不得。那就是“成人疯狂爆痘视频”突然间成了热门话题。这些视频里,各种年龄段的成年人,脸上痘痘横生,仿佛回到了青春期。那么,这些视频背后到底隐藏着什么秘密呢?让我们一起揭开这个神秘的面纱吧!

首先,我们要了解为什么成年人会突然爆痘。据专家介绍,成人爆痘的原因有很多,比如生活压力、饮食不规律、作息不规律等。这些因素都会导致内分泌失调,进而引发痘痘。
在网络上,这些爆痘视频的主角们,有的因为工作压力,有的因为家庭琐事,还有的因为个人情感问题。他们脸上痘痘的爆发,仿佛是对生活的一种抗议。看着他们痛苦的表情,不禁让人感叹:原来痘痘也可以这么“疯狂”。

那么,这些痘痘视频是如何在网络上火爆起来的呢?其实,这得益于网络效应。首先,这些视频具有极强的娱乐性,让人在紧张的工作之余,能够得到放松。其次,这些视频具有很强的共鸣性,让很多人在看到这些视频时,仿佛看到了自己。这些视频具有很高的传播性,让人忍不住分享给亲朋好友。
据数据显示,这些痘痘视频的观看量已经突破了千万。网友们纷纷在评论区留言,分享自己的爆痘经历,甚至有人表示:“看完这些视频,我觉得自己的痘痘都不那么可怕了。”

在这些痘痘视频中,我们不仅能看到痘痘的疯狂,还能看到背后隐藏的生活真相。比如,一位上班族在视频中表示:“自从工作后,我的生活变得一团糟,痘痘也跟着疯狂起来。”另一位家庭主妇则说:“每天忙于家务,根本没时间照顾自己,痘痘就这样找上门了。”
这些视频让我们看到了成年人生活的另一面,原来,我们看似光鲜亮丽的生活背后,也有着许多不为人知的艰辛。
面对痘痘的“疯狂”,我们该如何应对呢?首先,要保持良好的作息习惯,保证充足的睡眠。其次,要调整饮食结构,多吃蔬菜水果,少吃油腻食物。此外,还要适当运动,增强身体免疫力。
当然,如果痘痘问题严重,建议及时就医。现在,很多医院都有专业的皮肤科,可以为我们提供专业的治疗。
通过这些痘痘视频,我们不仅看到了痘痘的“疯狂”,更看到了成年人生活的真实面貌。痘痘,虽然让人痛苦,但也让我们更加珍惜生活。在今后的日子里,让我们共同努力,战胜痘痘,迎接美好的生活吧!